Transformations
Happy Smiles
Now is always the right time
In your consultation, Dr Dan Abood will carefully assess your overall oral health, flagging any concerns that may arise, including fillings, missing teeth or other dental issues that you need to address, before structuring your customized treatment plan in pursuit of your healthiest and most beautiful smile.
Dr Dan has a wealth of knowledge and clinical experience, which means that you will have no problem overcoming any challenge with a customised treatment plan from Braces n Faces.
Whether you didn’t have access to treatment when you were younger, you didn’t think you could afford fixing your smile, or if your teeth started shifting later in life, see below what treatment options there are available for you today.
Treatment Outcomes
Female aged 15 Class 3 / Underbite

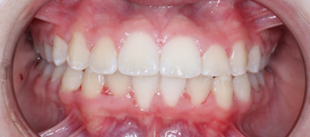
Male aged 13 Deep Bite and Gapped Teeth

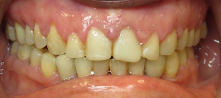
Female aged 40 Gapped Teeth and Gum Disease

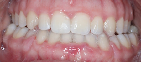
Male aged 14 Crowding

Female aged 16 Deep Bite

Female aged 29 Severe Underdeveloped Upper Arch / Crowding

Male aged 17 Gapped Teeth

Male aged 10 Herbst
